
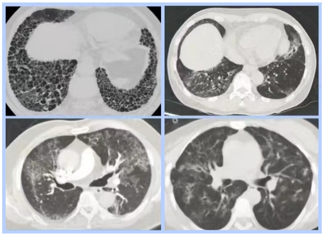
呼吸与危重症医学部结合胸科疾病诊治的难点与问题进行布局,在间质性肺疾病领域,学部在特发性肺纤维化、结缔组织疾病相关间质性肺疾病、结节病、机化性肺炎、过敏性肺炎、药物相关ILD、肺轻链沉积病、肺含铁血黄素沉着症、肺泡蛋白沉着症、肺囊性病变、少见病和不能分类的间质性肺疾病诊疗方面有着丰富的经验,病开展了大量深入研究,形成独有的特色。

呼吸与危重症医学部结合胸科疾病诊治的难点与问题进行布局,在间质性肺疾病领域,学部在特发性肺纤维化、结缔组织疾病相关间质性肺疾病、结节病、机化性肺炎、过敏性肺炎、药物相关ILD、肺轻链沉积病、肺含铁血黄素沉着症、肺泡蛋白沉着症、肺囊性病变、少见病和不能分类的间质性肺疾病诊疗方面有着丰富的经验,病开展了大量深入研究,形成独有的特色。